根管治療(歯内療法)|横浜市戸塚区で歯科をお探しの方は【戸塚むらしげ歯科】まで
歯を残せる可能性が広がる
「根管治療(歯内療法)」
このようなお悩みがありましたら、当院までご相談ください。
- むし歯が重症化してズキズキと痛む
- 他院で「抜歯が必要」と診断された
- 歯の中に膿が溜まっている
- 歯の根の治療がなかなか終わらない
根管治療(歯内療法)
について
根管とは?
根管治療が
必要な状態とは?
また、以前に治療した歯が「噛むと痛い」「歯が浮いているような感じがする」という場合は、歯の根っこの先に膿が溜まっている可能性があります。この場合も、再治療として根管治療が必要になることがあります。
治療方法
※歯の状態によっては、抜歯となる場合もあります。
当院の根管治療
(歯内療法)
のコンセプト
つまり、半数以上が再治療となっているのが現状です。
これは根管治療に対する保険点数の低さや、患者さまの立場としても「とりあえず神経を取ってしまえば痛みはなくなるので暫くは困らない」といった部分が背景にあると思うのですが、当院のコンセプトである「長期的な予後を見据えた歯科治療」という点からは相反する状況です。
当院では、根管治療を重要視しておりこれらの問題を解決していけるよう努力していきます。
ラバーダムを使った治療
そのために当院では、治療する歯だけを露出させる薄いゴム製のシート「ラバーダム」を使用しています。根管治療の際にラバーダムを使用することで、細菌だらけの唾液が患部に入り込むのを防ぎ、再感染リスクを大幅に減らすことができます。また、使用する薬液が口の中に触れにくくなる、長時間口を開けていても唾液が溜まりにくいといったメリットもあります。
トライオート
(歯科多目的治療用モーター)
を使った治療
拡大鏡(歯科用ルーペ)
を使った治療
根管治療(歯内療法)
の流れ
抜髄の場合
精密検査
歯髄に達するまで歯を削る
炎症を起こした歯髄の除去
根管内の清掃と消毒
根管の充填
仮止め
ここから基本的には被せ物を作成する治療に移行いたします。
再根管治療の場合
精密検査
詰め物・被せ物の除去
根管内の充填剤や感染組織の除去
根管内の清掃と消毒
根管の充填
仮止め
ここから基本的には被せ物を作成する治療に移行いたします。
外科的歯内療法(歯根端切除術)
その原因としては
①根尖孔外(根の外側)にまで感染が波及している。
②根の先端約3mmほどには複雑な根管形態が存在しており、歯の中からの治療では無菌化が不可能であり治癒しない。
などが考えられます。
当院では、こういったケースにおいては外科的なオプションも含めた根管治療を行っています。
根管治療(歯内療法)
中のお願い
治療は中断せず、
最後まで通いましょう
硬い食べ物・食いしばりに
注意してください
服用中のお薬があれば
お知らせください
抗生物質は
必ず最後まで服用してください
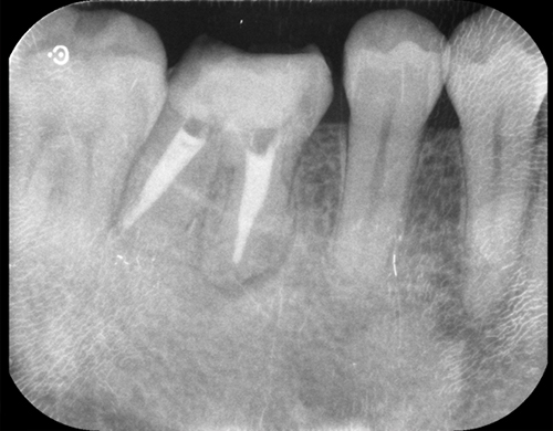
根管治療(外科的歯内療法)の症例


| 年齢・性別 | 50歳・男性 |
|---|---|
| 主訴 | 歯ぐきにできものができた |
| 治療期間 | 2ヶ月 |
| 治療内容 | 歯根端切除術 奥歯に根尖病変を認め、サイナストラクトと呼ばれる膿の通路ができていた。まずは根管治療を行い歯の内部の感染源を可及的に除去したが、サイナストラクトが消失しなかったため、根尖孔外に感染源があると考え歯根端切除術を行った。 結果、サイナストラクトは消失し、一年後の経過も良好である。 |
| 治療費用(総額) | 保険適応 |
| 治療のメリット | 歯を保存できる |
| 治療のデメリット・リスク | 外科処置が必要 |